Steroid Injection Rotator Cuff Tear - A Positive Correlation between Steroid Injections and Cuff Ten
The incidence of cuff tendon tears was8% in patients who received steroid injections (p <001) The adjusted hazard ratios for steroid injections, smoking, and chronic liver disease were44 (p <001),40 (p =046),25 (p =007), Steroid injections on the shoulder were associated with a raised risk of
👊 CLICK HERE TO SHOP ONLINE: https://t.co/ctrAoXI8SO
A steroid injection into the shoulder joint might be helpful, especially if the pain is interfering with sleep, daily activities or physical While such shots often provide temporarily relief, they also can weaken the tendon and reduce the success of future shoulder Surgery Arthroscopic rotator cuff repair
Injections for Rotator Cuff Disease | ShoulderDoc

Shibata et (JBJSA, 1999) performed a randomised control trial of steroids versus Hyaluronan in patients with rotator cuff tears prior to Cuff biopsies were then They found the patients were treated with Hyaluronan, had denser collagen fibres compared to the corticosteroid
Non-Surgical Treatments for Rotator Cuff Tears - Verywell Health

Cortisone Injections Cortisone injections can be incredibly helpful at limiting the acute inflammation of a rotator cuff tear and allowing the patient to begin It is important to participate in the therapy and exercises even if the shoulder feels better after an
Do I need surgery for my rotator cuff injury?

Steroid injection: A steroid injection into the shoulder joint can ease pain and However, this treatment is often limited to no more than one injection as repeated injections can cause deterioration in the Emerging therapies show promise Mayo Clinic researchers are investigating new regenerative medicine
Rotator Cuff Tears: Causes, Symptoms, Diagnosis, and Treatment - GoodRx

Rotator cuff tears can improve on their own by avoiding activity that causes Other treatment includes physical therapy, over-the-counter pain medications, and joint Targeted exercises can help strengthen the rotator cuff to help it heal and prevent further Steroid injections: A provider can inject strong
Rotator Cuff Tendinopathy: Comparing physical therapy, injections,

A rotator cuff tear is a tear in the muscles or the tendons of the rotator cuff You may also be on this page because you went to your health care provider and received the typical recommendations of: Anti-inflammatory medications, which have stopped helping (See our article When NSAIDs make the pain worse)
What Happens If A Rotator Cuff Tear Goes Untreated?

A cortisone injection may help with symptoms related to a torn rotator cuff if there is a significant amount of It's not recommended to get more than 3-4 corticosteroid injections in one year due to the possible joint-damaging and tendon-damaging effects it can

PDF | This cohort study aimed to investigate the association between steroid injections for shoulder diseases and the increased incidence of cuff | Find, read and cite all the
Rotator Cuff Pathology: Causes Symptoms And Treatment

Cerebrospinal fluid (cortisone) injections are used for steroid Physical therapy is the treatment of a physical The rotator cuff tendons are sewn back to the upper arm bone (humerus) during rotator cuff surgery (Figure 1) Following a rotator cuff tear diagnosis, a retrospective study of records from thousands
Partial rotator cuff tear - Do you really need a surgery?

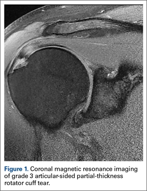
This means that the MRI chances of accurately detecting the possibility of a partial rotator cuff tear are actually there is about 52% Basically the same accuracy odds as a coin Once this 52% is separated into probable and non-probable, then the probable partial rotator cuff tears are confirmed as partial tears with a specificity of2%
Rotator Cuff Tear Recovery Time | With And Without Surgery!

Several options include pain medications, RICE therapy, heat therapy, and corticosteroid Your therapist will also work on improving the strength and mobility of your shoulder This can prevent further irritation of your rotator ( 6) Things you'll work on: Reducing shoulder pain Assisted range of motion exercises
Rotator Cuff Tear MRI | New Health Advisor

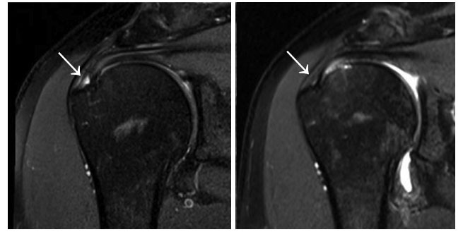
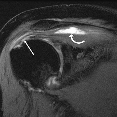
Figure 1: Rotator Cuff Tear This rotator cuff tear is seen in the The muscle is lit up in bright white and you can see a dark spot indicating the Figure 2: Partial Rupture This is a partial rupture of one of the rotator cuff The red arrow indicates the rupture Figure 3: Complete Rotator Cuff Tear
What signs and symptoms indicate a rotator cuff injury?

If the rotator cuff injury happens as a result of wear and tear and there is only a small amount of pain, then it is always preferable to undergo physiotherapy as well as steroid Mr Abhinav Gulihar is a well-respected and experienced consultant orthopaedic
An Alternative Surgical Option for Severe Rotator Cuff Tears

When a rotator cuff tear goes unrepaired, the ball part of the joint tends to drift higher in socket, causing arthritis over Superior capsule reconstruction restores the alignment of the shoulder joint and normalizes its mechanics, which may slow progression of the Learn More Rotator Cuff Tears
Rotator cuff or not? | Telecaster Guitar Forum
2,005 Location wisconsin I was recently diagnosed with two small rotator cuff tears and a bicep tendon that has slipped out of Was given a cortisone shot and can now move arm around with only a minimum amount of discomfort when moving arm in an upward and back
Physical Therapy for Rotator Cuff Impingement: What to Expect

Weakness in the rotator cuff or shoulder blade muscles Increased flexion or kyphosis in your mid-back (thoracic spine) 1 Regardless of the cause, this syndrome can lead to a number of symptoms in your Among the most common are: Slowly developing shoulder pain that comes on for weeks or months
Rotator cuff injury

A steroid injection into the shoulder joint might be helpful, especially if the pain is interfering with sleep, daily activities or physical While such shots often provide
6 Best Exercises for Rotator Cuff Tears - Cleveland Clinic

Steroid injections to ease pain and Range of motion exercises for rotator cuff The first step in treating an injured rotator cuff is restoring the range of "We
Shoulder Injury Related to COVID-19 Vaccine Administration: A

He was treated with oral prednisolone (30 mg/day) for 5 days and an intraarticular steroid injection (triamcinolone acetate (TA) 40 mg/mL) His shoulder pain gradually improved, and he could return to normal activities within 7 days after Figure 7 Ultrasonographic images of the right shoulder of Patient
Last updated